Ortho
notes
by
the.bonestories
v3.0 Fusion
Search
View all results
Home
Learn
▼
MCQs
Wiki
Cases
Resources
BoneStories Live
Tools
▼
Atlas
Fracture Atlas
Evidence
Feed
How to Use?
G
▼
Login
Register
☰
v3.0 Fusion
×
Search
Home
Feed
How to Use?
Learn
MCQs
Wiki
Cases
Resources
BoneStories Live
Tools
Atlas
Fracture Atlas
Evidence
Guest
Login
Register
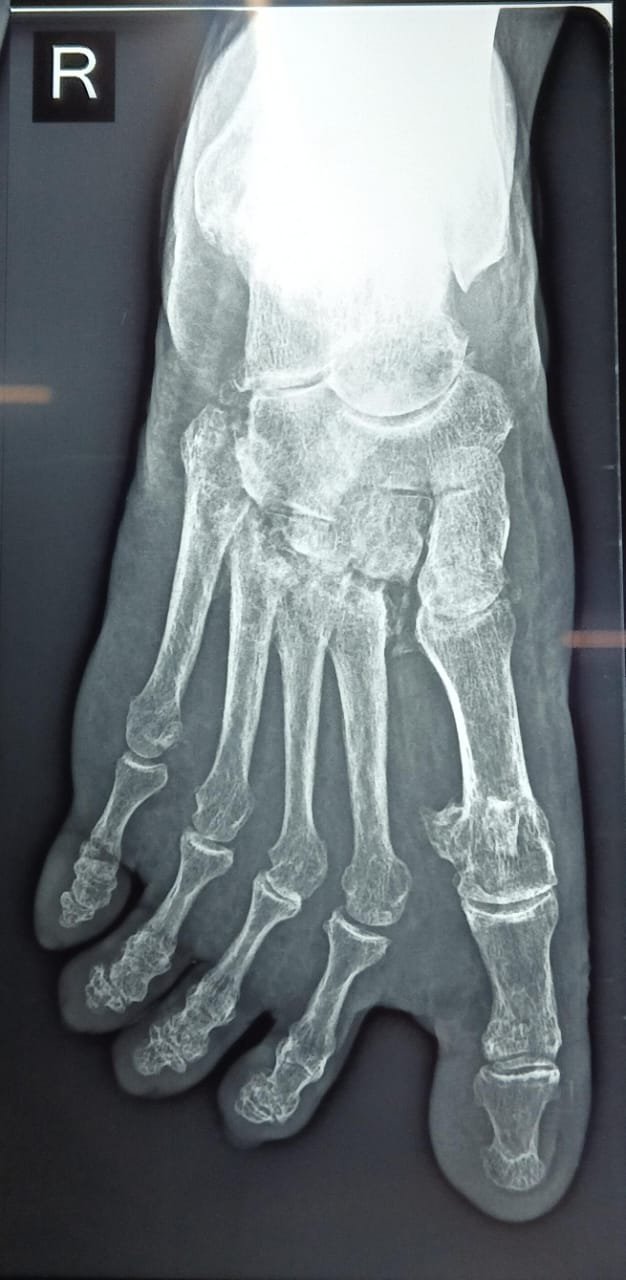
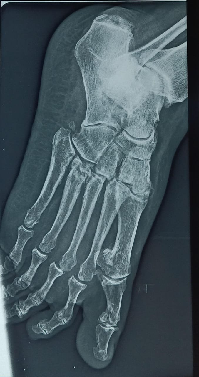
Lisfranc Injury
Atlas ID: 2 • Orthonotes Atlas
Cite
Share
Open Topic Hub
Invert
Zoom +
Zoom -
Reset
Brightness
Contrast
Angle
Annotate
Clear
Related Wiki
Lisfranc Injuries
Related Case
Lisfranc Injury - Case Based Learning
Citation
Lisfranc Injury. Orthonotes Atlas. The Bone Stories. Available at: https://orthonotes.in/atlas/lisfranc-injury-69b949996a781 Accessed: 2026
Copy Citation
Close
Share Atlas
Copy Link
Close
↑ Top