Orthonotes
Orthonotes
by the.bonestories
v3.0 Fusion
v3.0 Fusion
Tumor 106 views 4,686 words 22 min read

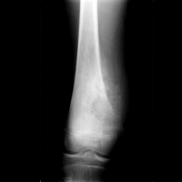
Periosteal Reaction

Key Takeaway

Periosteal reactions are one of the most underrated signs on a plain X-ray. One look at the pattern tells you whether you're dealing with something benign and slow — or aggressive and urgent.

Published Mar 27, 2026 Updated May 27, 2026 By The Bone Stories Admin
Periosteal Reaction

 

Overview & Definition

A periosteal reaction (periosteal response) is new bone formation on the outer surface of cortical bone, produced by the periosteum in response to any pathological process that irritates or lifts the periosteum away from the underlying cortex. The periosteum — a two-layered fibrovascular membrane investing the outer surface of all bones except at articular surfaces — contains an inner cambium (osteogenic) layer rich in osteoprogenitor cells and an outer fibrous layer carrying the neurovascular supply. When this membrane is elevated, stretched, or infiltrated by tumour, infection, haemorrhage, or mechanical stress, the cambium layer responds by producing woven bone, which over time may mature into lamellar bone as the stimulus persists or resolves.

  • Clinical importance: periosteal reactions are among the most important radiological signs in musculoskeletal radiology; their morphology — whether they are continuous or interrupted, solid or laminated, organised or chaotic — provides critical diagnostic information about the underlying pathological process; a solid, well-defined periosteal reaction almost invariably indicates a benign or slow-growing process; an interrupted, aggressive-pattern periosteal reaction strongly suggests a malignant or rapidly destructive lesion; the periosteal reaction pattern does NOT make a tissue diagnosis, but it powerfully stratifies the lesion as benign vs aggressive and guides the subsequent investigation pathway
  • Anatomy of the periosteum: the periosteum consists of two layers; (1) the outer fibrous layer — dense collagen, contains fibroblasts, Sharpey`s fibres (anchoring the periosteum to cortical bone through small perforating fibres that cross into the outer cortex), blood vessels, and unmyelinated pain fibres (which is why periosteal elevation is exquisitely painful — periosteal pain is the source of bone pain in osteomyelitis, metastatic disease, and primary bone tumours); (2) the inner cambium layer — loosely arranged cells including osteoprogenitor cells, osteoblasts, and undifferentiated mesenchymal cells; this is the osteogenic layer responsible for appositional bone growth (increasing cortical diameter with age) and for the periosteal new bone formation seen in all periosteal reactions; the cambium layer is thicker and more cellular in children (explaining why children produce more exuberant periosteal reactions than adults in response to the same stimulus)
Pathophysiology — How Periosteal Reactions Form
  • The fundamental mechanism: any process that elevates the periosteum from the cortex creates a subperiosteal space; the cambium layer responds to this elevation by producing new bone, which forms in the subperiosteal space between the elevated periosteum and the outer cortex; the morphology of the resulting periosteal reaction depends on: (1) the RATE of the underlying disease process (slow = time for organised bone deposition; fast = chaotic bone formation); (2) the NATURE of the underlying pathology (benign tumour, infection, fracture healing, malignancy); (3) the AGE of the patient (children produce more exuberant reactions); (4) the BONE INVOLVED (flat bones and metaphyses produce more reaction than diaphyses)
  • Rate determines morphology: if the periosteum is elevated slowly (months to years), the cambium layer has time to deposit organised, layered, mineralised bone — producing a solid, thick, homogeneous periosteal shell; if the periosteum is elevated rapidly (days to weeks, as in aggressive tumours or acute osteomyelitis), the cambium layer attempts to produce bone but is outpaced by the expanding lesion, producing interrupted, disorganised, or spiculated bone patterns; if the underlying lesion is rapidly destructive and the periosteum is repeatedly breached, the reaction cannot consolidate and produces the most aggressive-appearing patterns (sunburst, Codman`s triangle)
  • Timing of appearance on radiographs: new periosteal bone is NOT immediately visible on plain X-ray; the minimum detectable periosteal reaction on plain radiography requires approximately 10–21 days of active new bone formation; bone scintigraphy (technetium-99m MDP bone scan) detects periosteal activity as early as 3–7 days; MRI detects subperiosteal oedema and early periosteal elevation within days; CT detects thin cortical new bone better than plain radiography but is still limited to detecting mineralised bone only
Classification of Periosteal Reaction Patterns
Pattern Appearance Aggressiveness Typical Causes Key Points
Solid (uniform) A single dense, homogeneous layer of new bone parallel to the cortex; the new bone is well-mineralised and continuous; it blends smoothly with the cortex at both ends; no layering or interruption BENIGN — the least aggressive pattern; indicates a slow, indolent process that has given the periosteum time to produce well-organised, mature bone; in most cases the underlying disease is stable or resolving Chronic stress fracture; osteoid osteoma; chronic osteomyelitis (Garre`s sclerosing); hypertrophic pulmonary osteoarthropathy (HPOA); physiological periosteal new bone in infants; thyroid acropachy; melorheostosis; Paget`s disease (early) The solid pattern is the most reassuring periosteal reaction morphology; a completely solid, mature periosteal shell essentially excludes a rapidly destructive malignancy in the underlying bone; however, malignancy can occasionally produce a solid shell in slower-growing lesions — clinical correlation is mandatory
Laminated (onion-skin) Multiple concentric layers of periosteal new bone separated by radiolucent gaps; resembles the layers of an onion on cross-section; the layers are parallel to the cortex; each layer represents a discrete episode of periosteal elevation and new bone formation; the intervening radiolucent gaps are formed by fibrous tissue or the periosteum itself between bone layers VARIABLE — the laminated (onion-skin) pattern is classically associated with Ewing`s sarcoma (the prototypical example) but is NOT specific for malignancy; it can be seen in any condition that produces repeated cycles of periosteal elevation and new bone formation; the key question is whether the layers are regular and continuous (suggests benign or indolent) or irregular and disrupted (suggests aggressive) Ewing`s sarcoma (most classic); aggressive osteomyelitis (bacterial — staphylococcal); stress reaction; langerhans cell histiocytosis (LCH); lymphoma of bone; occasionally in healing fractures Ewing`s sarcoma: onion-skin periosteal reaction is the classic teaching association; however, only approximately 25–50% of Ewing`s sarcomas actually show this pattern — it is neither sensitive nor specific for Ewing`s; the pattern reflects repeated episodes of periosteal elevation as the tumour expands in pulses; identical appearances occur in aggressive osteomyelitis, making the radiological distinction between infection and Ewing`s sarcoma one of the most challenging problems in paediatric musculoskeletal radiology
Sunburst (spiculated — radial) Fine radiating spicules of new bone projecting perpendicularly from the cortical surface in a radial pattern resembling the rays of the sun; the spicules radiate outward from the periosteum into the soft tissues; they represent new bone deposited along the Sharpey`s fibres and along the vessels penetrating the periosteum perpendicularly; the spicules are thin, irregular, and often widely spaced AGGRESSIVE — classically associated with osteosarcoma; the sunburst pattern indicates rapid periosteal elevation and bone formation by a highly aggressive process; the tumour is growing so rapidly that it forces the periosteum outward faster than organised layered bone can be deposited, and instead precipitates bone along the perpendicular periosteal vessels and fibres Osteosarcoma (the classic cause — the `sunburst` periosteal reaction is virtually pathognomonic of high-grade osteosarcoma); aggressive metastases (rare); occasionally in very aggressive osteomyelitis The sunburst periosteal reaction is one of the most specific radiological signs in musculoskeletal oncology; when seen in a child or adolescent in the metaphysis of a long bone — it should be considered high-grade osteosarcoma until proven otherwise; osteosarcoma classically occurs at the knee (distal femur 40%, proximal tibia 20%) in adolescents; the sunburst pattern is also important to recognise in hemangiomas of bone (but the spicules are coarser — the `corduroy cloth` appearance on AP radiograph)
Hair-on-end (spiculated — parallel) Fine parallel spicules projecting perpendicularly from the cortex, giving the appearance of `bristles` or `hair standing on end`; the spicules are parallel to each other (unlike the sunburst pattern where they diverge radially); the pattern typically involves a long segment of cortex uniformly; the perpendicular spicules are parallel and evenly spaced AGGRESSIVE to MODERATELY AGGRESSIVE — the hair-on-end pattern is classically associated with haematological conditions that stimulate marrow expansion (thalassaemia, sickle cell disease) producing medullary hyperplasia that forces the cortex apart; in the skull vault, thalassaemia produces the classic `hair-on-end` appearance; in long bones, this pattern is seen with aggressive tumours including Ewing`s sarcoma and some high-grade osteosarcomas Beta-thalassaemia (skull — classic hair-on-end); sickle cell disease; Ewing`s sarcoma (long bone); some osteosarcomas The hair-on-end pattern of the skull in thalassaemia is caused by marrow hyperplasia expanding the diploë and driving the outer table outward — the perpendicular trabeculae of the expanded diploë produce the hair-on-end appearance; not a true periosteal reaction in the strict sense (it is endosteal expansion rather than subperiosteal new bone); in long bones however, a true periosteal spicular pattern with parallel spicules indicates an aggressive lesion
Codman`s triangle A triangular elevation of the periosteum at the margin of a rapidly expanding lesion; the periosteum is lifted by the underlying tumour or process; at the edge of the lesion, the periosteum is still attached to the cortex, forming an acute angle (the triangle) between the elevated periosteal new bone and the cortex; the Codman`s triangle is the edge of the periosteal `tent` — it represents the reactive new bone at the advancing front of periosteal elevation AGGRESSIVE — the Codman`s triangle is the single most important aggressive periosteal sign; it indicates that a rapidly expanding process has elevated the periosteum and that the periosteum cannot keep up with new bone formation at the advancing front; it is a radiological sign of an aggressive, rapidly growing lesion — not a specific tumour diagnosis; it is one of the `red flag` periosteal patterns that mandates urgent specialist referral and further imaging Osteosarcoma (most classic); Ewing`s sarcoma; aggressive osteomyelitis; subperiosteal haematoma (traumatic); aggressive metastasis; aneurysmal bone cyst (occasionally); any rapidly expanding intramedullary lesion Codman`s triangle does NOT represent tumour — it is reactive new bone at the edge of the periosteal elevation; biopsy of the Codman`s triangle itself may give non-diagnostic reactive bone; the tumour is within the lesion, not within the triangle; named after Ernest Codman (Boston orthopaedic surgeon, 1869–1940 — the same Codman for whom the Codman exercise for shoulder rehabilitation is named); Codman`s triangle can be seen in any rapidly expansile process, including aggressive non-neoplastic conditions
Buttressing (endosteal / exostotic) A broad-based, smooth, gradual thickening of the cortex at the margin of a bone lesion, blending imperceptibly with the normal cortex; the periosteal new bone and endosteal new bone together produce cortical thickening that `buttresses` the weakened bone; not a discrete periosteal shell but a gradual sclerotic transition between normal bone and the lesion margin BENIGN — the buttressing pattern indicates a very slow-growing or static process; the periosteum and endosteum have had sufficient time to produce a mature, fully consolidated cortical response that is indistinguishable from normal cortex at its margins Non-ossifying fibroma (NOF) at the lesion margin; fibrous cortical defect; simple bone cyst with pathological fracture response; enostosis (bone island) — endosteal not periosteal; osteoid osteoma (sclerotic halo) The buttressing reaction is the most benign periosteal pattern and strongly suggests a long-standing or resolved process; it is commonly seen at the margins of benign fibrous lesions of bone (NOF, fibrous dysplasia, simple bone cysts) as a response to the mechanical weakening of the cortex
Eggshell / Expanded shell A thin, expanded periosteal shell of bone surrounding an expansile lesion; the lesion has ballooned the periosteum outward; the resulting shell is thin (eggshell) but continuous; the expanded shell may be intact or may show focal thinning and areas of cortical breakthrough VARIABLE — an intact, smooth eggshell expansion indicates a slow-growing lesion (benign or low-grade); focal cortical breakthrough of the expanded shell suggests a more aggressive process; the overall contour (smooth and lobulated vs irregular and infiltrated) is a key morphological discriminator Aneurysmal bone cyst (ABC — classic thin eggshell expansion with internal septa); giant cell tumour of bone (GCT — expanded, soap-bubble lytic lesion); simple bone cyst; enchondroma of small bones; intraosseous lipoma The aneurysmal bone cyst is the archetypal `eggshell expansion` lesion — it produces dramatic expansile ballooning of the bone with a thin but complete periosteal shell and internal fibrous septa visible on MRI (fluid-fluid levels on axial MRI are pathognomonic); GCT of bone produces a similar appearance but typically extends to the subchondral bone of the epiphysis and is located eccentrically rather than centrally
Causes by Category
Category Examples Pattern Key Distinguishing Features
Trauma / Healing Fracture healing; stress fracture; periosteal contusion; subperiosteal haematoma Solid or Codman`s triangle (acute subperiosteal haematoma); periosteal callus (exuberant solid reaction around a healing fracture) History of trauma or overuse; healing fracture callus has irregular bridging appearance; stress fracture — periosteal reaction along cortex at the site of maximum stress, often with a lucent fracture line; subperiosteal haematoma after direct blow can mimic an aggressive tumour — correlation with mechanism is essential
Infection Acute osteomyelitis (haematogenous); chronic osteomyelitis (Garre`s sclerosing osteomyelitis); Brodie`s abscess; tuberculosis; syphilis (congenital and acquired); fungal osteomyelitis Acute: aggressive — laminated, Codman`s triangle, interrupted; Chronic: solid, thick, dense; Garre`s: very thick solid sclerotic reaction (periosteal thickening without a medullary cavity lesion) Clinical signs of infection (fever, raised CRP/ESR, local heat and erythema); in children, acute haematogenous osteomyelitis most commonly affects the metaphysis of long bones (distal femur, proximal tibia, proximal humerus); the periosteal reaction of acute osteomyelitis can be radiologically indistinguishable from Ewing`s sarcoma — MRI and biopsy are required; `the most difficult radiological differential in paediatric bone pathology`; Garre`s sclerosing osteomyelitis classically affects the mandible in young adults
Benign Tumours Osteoid osteoma; osteoblastoma; aneurysmal bone cyst (ABC); giant cell tumour (GCT); fibrous dysplasia; Langerhans cell histiocytosis (LCH); enchondroma (peripheral) Variable — osteoid osteoma: solid thick periosteal reaction (pain + nocturnal pain + salicylate/NSAID response is classic); ABC: eggshell expansion; LCH: can produce aggressive laminated or interrupted patterns mimicking malignancy Osteoid osteoma: intense solid periosteal reaction with a central radiolucent nidus (<2 cm) on CT; the nidus is surrounded by a dense zone of reactive sclerosis; nocturnal pain dramatically relieved by NSAIDs/aspirin is pathognomonic; CT-guided radiofrequency ablation (RFA) is the treatment of choice; LCH: extremely variable appearance (`the great mimic`); can produce punched-out lytic lesion, periosteal reaction, soft tissue mass, or vertebra plana — biopsy required for all suspected cases
Primary Malignant Tumours Osteosarcoma; Ewing`s sarcoma; chondrosarcoma (periosteal); parosteal osteosarcoma; periosteal osteosarcoma; lymphoma of bone; multiple myeloma (rarely) Osteosarcoma: sunburst ± Codman`s triangle; Ewing`s sarcoma: onion-skin (laminated) ± Codman`s triangle; periosteal osteosarcoma: spiculated periosteal reaction on the cortical surface without medullary involvement; parosteal osteosarcoma: dense, lobulated periosteal mass attached to the cortex without medullary invasion Age distribution is critical: osteosarcoma peak 10–20 years; Ewing`s sarcoma 5–30 years (peak 10–20 years); chondrosarcoma and lymphoma in adults; parosteal osteosarcoma typically 20–40 years; location: osteosarcoma = metaphysis of long bones (distal femur 40%); Ewing`s sarcoma = diaphysis (tibial and femoral shaft) and flat bones (pelvis, ribs, scapula) — `any bone any age`
Metastatic Disease Neuroblastoma (children); prostate, lung, breast metastases Variable; neuroblastoma: aggressive spiculated (hair-on-end) periosteal reaction; prostate: sclerotic metastases with solid periosteal thickening; lytic metastases (lung, kidney) may show minimal periosteal reaction; blastic metastases (prostate, breast) may show solid periosteal thickening In children, neuroblastoma is the most important metastatic periosteal reaction — multiple periosteal reactions across the skeleton in a child under 5 years = neuroblastoma until proven otherwise (compare with leukaemia which produces periosteal reactions from subperiosteal deposits); in adults, periosteal reaction associated with bone metastasis is unusual except in neuroblastoma and some prostate metastases
Haematological / Metabolic Beta-thalassaemia; sickle cell disease; leukaemia (childhood); haemophilia; scurvy; rickets; fluorosis; hypervitaminosis A and D Thalassaemia: hair-on-end skull; sickle cell: periosteal reaction from infarction and marrow expansion; leukaemia: bilateral symmetrical periosteal reaction from subperiosteal leukaemic infiltration; scurvy: `Pelkan spurs` (small periosteal new bone at metaphyseal corners — `corner sign`) from subperiosteal haematoma formation; hypervitaminosis A: painful, florid periosteal reactions of the long bones from periosteal irritation Bilateral, symmetrical periosteal reactions in a child = leukaemia, scurvy, or metabolic bone disease until proven otherwise; metaphyseal lucent bands + bilateral periosteal reactions in a child = leukaemia (urgent haematological assessment); scurvy: now rare in developed countries; presents with perifollicular haemorrhage + gingival bleeding + subperiosteal haemorrhage + metaphyseal abnormality; vitamin C deficiency impairs collagen cross-linking → capillary fragility → subperiosteal haemorrhage → periosteal elevation
Inflammatory / Rheumatological Hypertrophic pulmonary osteoarthropathy (HPOA); thyroid acropachy; juvenile idiopathic arthritis (JIA); psoriatic arthritis; Reiter`s syndrome (reactive arthritis); SAPHO syndrome HPOA: bilateral, symmetrical, solid periosteal reaction along the diaphyses of the long bones (tibia, fibula, radius, ulna, femur, humerus); the periosteal new bone is often separated from the cortex by a thin lucent zone (`double cortex` sign); thyroid acropachy: acral periosteal reaction (phalanges and metacarpals) in treated thyroid disease HPOA: associated with intrathoracic malignancy (most common — non-small cell lung cancer in 90%); also with mesothelioma, cyanotic congenital heart disease, inflammatory bowel disease, and cirrhosis; bilateral symmetrical periosteal reaction of the long bones in an adult → CXR/CT chest to look for lung malignancy or mesothelioma; the periosteal reaction resolves after treatment of the underlying cause; SAPHO syndrome (synovitis-acne-pustulosis-hyperostosis-osteitis): anterior chest wall periostitis is the typical presentation — often confused with metastatic disease or primary bone tumour
Physiological / Developmental Normal infant periosteal new bone (physiological); Caffey`s disease (infantile cortical hyperostosis); prostaglandin E therapy Normal physiological periosteal new bone: seen in infants between 1 and 6 months of age; thin, uniform, bilateral periosteal reaction along the diaphyses; completely asymptomatic; disappears by 6 months of age; a normal finding that should not be confused with non-accidental injury (NAI) or pathological condition; Caffey`s disease: dense periosteal reaction affecting the mandible, clavicles, and long bones; onset in the first 5 months of life; self-limiting The physiological periosteal new bone of infancy is a critically important mimic of non-accidental injury (NAI); however, NAI periosteal reactions are: (1) asymmetric; (2) associated with metaphyseal corner fractures; (3) associated with fractures in different stages of healing; (4) present beyond 6 months of age; (5) associated with other injuries; physiological periosteal new bone is: symmetric, smooth, bilateral, confined to the diaphysis, and disappears by 6 months; when in doubt, a full skeletal survey and safeguarding assessment is mandatory
Drug-Induced / Toxic Prostaglandin E1 and E2 therapy (neonates); fluorosis; hypervitaminosis A; bisphosphonates (atypical periosteal reactions); retinoids Prostaglandin E therapy: dramatic solid periosteal reaction in neonates receiving PGE1/2 for cardiac conditions (ductus arteriosus maintenance); can resemble Caffey`s disease; resolves after cessation; fluorosis: dense, irregular periosteal new bone (heterotopic mineralisation of ligaments and periosteum) + dense sclerotic bone throughout the skeleton Always take a drug history when a periosteal reaction is discovered without an obvious cause; fluorosis is endemic in certain parts of India, China, and Africa; the classic triad: dense sclerosis + periosteal new bone + calcification of the interosseous membranes of the forearm and leg (the calcified interosseous membrane is pathognomonic on plain radiographs)
Specific Named Periosteal Reactions
  • Codman`s triangle: the triangular elevation of periosteum at the advancing margin of a rapidly destructive lesion; represents periosteal new bone at the junction between elevated periosteum and the intact cortex; the classic sign of an aggressive primary bone tumour (osteosarcoma, Ewing`s sarcoma) but also seen in aggressive osteomyelitis and subperiosteal haematoma; the triangle itself is reactive bone — NOT tumour; biopsy must be taken from within the lesion, not from the triangle
  • Sunburst periosteal reaction: radially diverging spicules of new bone perpendicular to the cortex; the periosteum is elevated so rapidly that bone is deposited along the perpendicular periosteal vessels (Haversian canals and Volkmann canals) and along the Sharpey`s fibre tracts; virtually pathognomonic of high-grade osteosarcoma in a child or adolescent; also produced by aggressive metastases and occasionally by aggressive osteomyelitis; the spicules are thin and irregular (unlike the thick coarse spicules of periosteal haemangioma)
  • Onion-skin (laminated) periosteal reaction: multiple concentric rings of periosteal new bone; each ring represents one episode of periosteal elevation followed by bone deposition; classically associated with Ewing`s sarcoma but NOT specific for it; aggressive osteomyelitis, lymphoma of bone, and LCH can all produce identical laminated reactions; the rings are usually regular and complete in slower-growing lesions; irregular, incomplete, or disrupted rings are more aggressive
  • Pelkan spurs (scurvy): small periosteal new bone projections at the medial and lateral corners of the metaphyses of the long bones; caused by subperiosteal haemorrhage from capillary fragility (vitamin C deficiency impairs collagen synthesis and therefore capillary basement membrane integrity); the metaphyseal `corner sign` (a radiolucent band at the zone of provisional calcification combined with Pelkan spurs) is pathognomonic of scurvy
  • HPOA (Marie-Bamberger syndrome): bilateral, symmetrical, solid periosteal reaction affecting the long bones of the extremities (classically the tibia, fibula, radius, and ulna — distal predilection); associated with clubbing of the fingers; the periosteal reaction often has a characteristic thin radiolucent zone between the new periosteal bone and the cortex (the `double cortex` sign); always associated with an underlying systemic condition — the most important of which is intrathoracic malignancy (90% non-small cell lung cancer); bilateral long bone periosteal reactions in an adult = chest imaging mandatory
  • Thyroid acropachy: a rare manifestation of treated hypothyroidism (patients on thyroid replacement therapy for Graves` disease or post-thyroidectomy); solid periosteal reaction affecting the hands and feet (acral distribution — particularly the metacarpals and phalanges of the hand); associated with pretibial myxoedema and exophthalmos; the periosteal reaction is usually asymptomatic; the condition is the only thyroid-associated periosteal reaction
Imaging Modalities
  • Plain radiography: the first-line investigation for suspected periosteal reactions; provides the best overall assessment of the periosteal reaction pattern, the underlying bone architecture (cortical integrity, medullary lesion, zone of transition), and the relationship of the lesion to the bone; the morphological pattern of the periosteal reaction is best assessed on plain radiography; however, plain X-ray is the least sensitive modality for early periosteal reactions (requires 10–21 days of activity before visible) and is poor for characterising soft tissue involvement
  • CT: superior to plain radiography for: (1) early detection of thin cortical new bone (particularly useful for stress fractures and osteoid osteoma nidus); (2) characterising the bone matrix (whether the tumour is producing bone or cartilage); (3) assessing cortical breakthrough and soft tissue extension; (4) guiding biopsy; CT is the investigation of choice for detecting the nidus of an osteoid osteoma (a small round radiolucency with central mineralisation within a dense sclerotic periosteal reaction), where CT-guided radiofrequency ablation is the definitive treatment
  • MRI: the most sensitive and specific modality for characterising the underlying pathology and the soft tissue extent; MRI can detect periosteal elevation before it is visible on plain X-ray or CT (subperiosteal oedema appears as a dark T1/bright STIR signal between the cortex and the periosteum); essential for: (1) determining the intramedullary and extramedullary extent of primary bone tumours for surgical planning; (2) assessing neurovascular involvement by tumour or infection; (3) characterising soft tissue masses; (4) detecting skip metastases (satellite lesions in the same bone); the specific appearance of fluid-fluid levels within a cystic lesion on axial MRI is pathognomonic of an aneurysmal bone cyst
  • Bone scintigraphy (technetium-99m MDP): detects increased osteoblastic activity as early as 3–7 days after onset; highly sensitive for periosteal reactions of any cause; low specificity — virtually all periosteal reactions are hot on bone scan; most useful for: (1) detecting multifocal or polyostotic periosteal disease (metastases, HPOA, Paget`s); (2) identifying the extent of osteomyelitis; (3) detecting stress fractures before they are visible on plain X-ray; SPECT/CT fusion combines anatomical and functional information for better localisation
  • PET-CT (FDG-PET): used in oncological staging; primary bone tumours and bone metastases are metabolically active and FDG-avid; used for: staging of Ewing`s sarcoma and osteosarcoma; assessing treatment response; detecting distant metastases; not a first-line investigation for periosteal reaction assessment
Non-Accidental Injury (NAI) — Periosteal Reactions
  • Periosteal reactions and child protection: the detection of periosteal reactions in infants and young children has critical child protection implications; periosteal new bone formation from subperiosteal haemorrhage is a recognised feature of non-accidental injury (NAI / physical abuse); the most specific skeletal injury for NAI is the `corner fracture` or `bucket handle` fracture — a metaphyseal corner fracture occurring at the zone of provisional calcification in infants, caused by violent shaking or twisting forces; these fractures produce subperiosteal haemorrhage and characteristic periosteal reactions
  • Features distinguishing NAI periosteal reactions from physiological new bone: NAI features — (1) asymmetric or unilateral periosteal reactions; (2) periosteal reactions associated with fractures (particularly metaphyseal corner fractures); (3) fractures in multiple different stages of healing (indicating repeated episodes of injury); (4) periosteal reactions after 6 months of age (when physiological new bone normally disappears); (5) associated bruising, retinal haemorrhages, or subdural haemorrhage; (6) inadequate or inconsistent history; physiological new bone — (1) symmetric, bilateral, smooth; (2) confined to the diaphysis; (3) no associated fractures; (4) presents between 1–6 months of age; (5) disappears by 6 months; any uncertainty = full skeletal survey, safeguarding referral
Consultant-Level Considerations
  • The aggressive periosteal reaction — management pathway: any periosteal reaction that shows aggressive features (Codman`s triangle, sunburst pattern, interrupted or disrupted laminar pattern, soft tissue mass) in a patient without an obvious benign diagnosis (stress fracture, confirmed osteomyelitis) must be investigated as a primary bone tumour until proven otherwise; the pathway is: (1) plain X-rays (two views of the affected bone + the joint above and below); (2) MRI of the entire affected bone (not just the lesion — to assess skip lesions); (3) CT chest/abdomen/pelvis for staging; (4) bone scan or PET-CT for polyostotic assessment; (5) biopsy — planned by the treating bone tumour surgeon after all imaging is complete (a poorly planned biopsy can compromise limb salvage options); (6) MDT discussion at a regional bone tumour centre before any intervention
  • The biopsy principle: the biopsy for a suspected primary bone tumour must be planned by the treating surgeon who will perform the definitive resection; the biopsy tract must lie within the planned resection field (if the biopsy contaminates a tissue plane outside the intended resection, it creates a new margin of contamination that may prevent limb salvage); in the UK, all suspected bone tumours should be referred to a regional bone tumour unit before biopsy; in the USA, referral to a sarcoma centre prior to biopsy is the standard of care; `refer before you cut`
  • The HPOA diagnosis pathway: bilateral symmetrical periosteal reactions of the long bones in any adult should prompt a systematic search for the underlying cause; the investigation sequence: (1) CXR — if abnormal or if a lung malignancy is suspected → CT chest; (2) if CXR is normal and there is no clear inflammatory/rheumatological cause → CT chest (to exclude a small peripheral lung tumour); (3) check for clubbing, CRP/ESR; (4) consider inflammatory bowel disease (colonoscopy), cirrhosis (LFTs), and cyanotic heart disease; treatment of the underlying cause resolves the periosteal reaction in most cases
Exam Pearls
  • Aggressive vs benign periosteal reaction: BENIGN — solid, uniform, well-corticated, continuous, no interruption; AGGRESSIVE — interrupted, laminated with disrupted rings, sunburst, Codman`s triangle, associated soft tissue mass; the pattern reflects the RATE of underlying disease growth, not its tissue type
  • Codman`s triangle: most aggressive periosteal sign; represents the advancing edge of periosteal elevation by a rapidly growing lesion; it is reactive bone, NOT tumour; seen in osteosarcoma and Ewing`s sarcoma (most important) and in aggressive osteomyelitis; biopsy the LESION, not the triangle
  • Sunburst = osteosarcoma (until proven otherwise): sunburst periosteal reaction in a child/adolescent in the metaphysis of a long bone = high-grade osteosarcoma; the most specific aggressive periosteal sign for osteosarcoma; also seen in very aggressive metastatic disease but this is rare in children
  • Onion-skin = Ewing`s sarcoma (classic teaching) BUT: laminated reactions are also produced by aggressive osteomyelitis, lymphoma of bone, and LCH; the radiological distinction between Ewing`s and osteomyelitis is one of the hardest in paediatric musculoskeletal radiology — biopsy and clinical context are essential
  • HPOA: bilateral symmetrical solid periosteal reaction of long bones in an adult = intrathoracic malignancy until proven otherwise (90% non-small cell lung cancer); `double cortex` sign; associated clubbing; do a CXR/CT chest urgently
  • Physiological vs NAI periosteal reaction in infants: physiological = symmetric, bilateral, smooth, diaphyseal, 1–6 months of age, no fractures; NAI = asymmetric, metaphyseal corner fractures, fractures at different healing stages, after 6 months; any doubt = skeletal survey + safeguarding referral
  • Osteoid osteoma: intense solid periosteal reaction + central nidus (<2 cm on CT) + nocturnal pain + dramatic relief with NSAIDs/aspirin = classic triad; CT is the investigation of choice (demonstrates the nidus); treatment = CT-guided radiofrequency ablation (RFA)
  • Scurvy (`the scorbutic rosary`): periosteal reactions + Pelkan spurs (metaphyseal corners) + Trümmerfeld zone (radiolucent band at the zone of provisional calcification) + `ground-glass` osteoporosis; the `Frankel line` (dense zone of provisional calcification) is another sign; remember: scurvy in children presents with irritability, pseudoparalysis from pain, and refusal to bear weight

References

Campbells Operative Orthopaedics. 14th Edition. Elsevier.

Linked Evidence

Indexed papers linked to this topic for quick evidence review.

Search More Evidence